Reporte de un caso
Introducción
El glaucoma es una de las principales causas de ceguera irreversible a nivel mundial y representa un problema de salud pública de creciente relevancia. La reducción de la presión intraocular (PIO) continúa siendo el único factor demostrado para disminuir la progresión del daño glaucomatoso, independientemente de su etiología. Dentro de los glaucomas secundarios, el glaucoma secundario a pseudoexfoliación (GSP) se distingue por un curso clínico más agresivo y una progresión más acelerada en comparación con el glaucoma primario de ángulo abierto (1).
El síndrome de pseudoexfoliación (PEX) es un trastorno sistémico relacionado con la edad, caracterizado por la producción y acumulación de material fibrilar extracelular anormal en múltiples tejidos oculares, particularmente en las estructuras del segmento anterior. Diversos estudios han demostrado que los pacientes con GSP presentan presiones intraoculares más elevadas, mayor variabilidad tensional y picos hipertensivos más frecuentes, lo que hace que el control temprano y eficaz de la PIO sea especialmente crítico (1,5).
El manejo del GSP puede verse aún más limitado por la presencia de comorbilidades sistémicas significativas, como la enfermedad cardiovascular, que restringen tanto las opciones quirúrgicas como el uso de ciertos fármacos antiglaucomatosos. Este escenario clínico subraya la necesidad de identificar alternativas terapéuticas médicas eficaces y seguras en pacientes con glaucoma que no son candidatos a procedimientos quirúrgicos. El presente caso clínico describe la eficacia del latanoprosteno bunod 0.024% como tratamiento inicial en un paciente con GSP y antecedente reciente de infarto agudo al miocardio.
Caso clínico
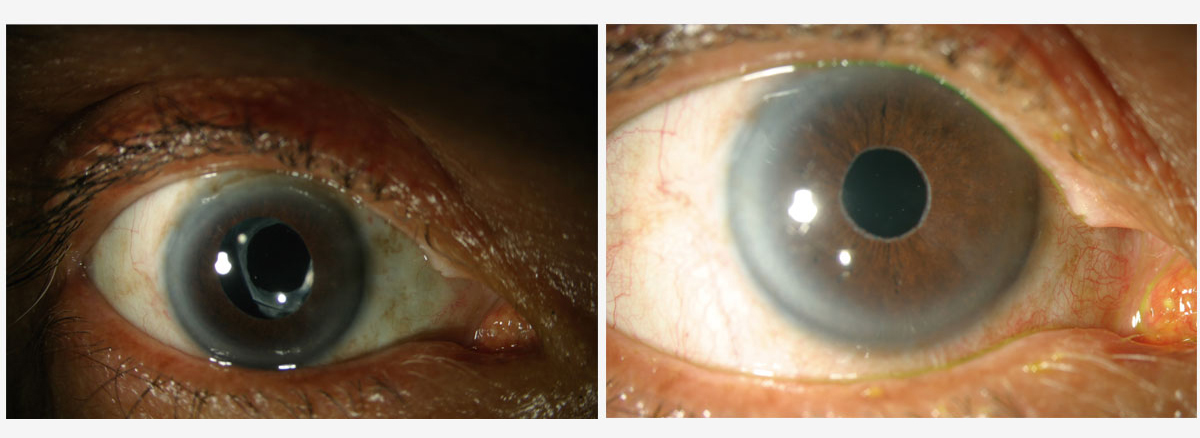
Paciente masculino de 69 años con antecedente de infarto agudo al miocardio (IAM) de cuatro meses de evolución y cirugía de catarata previa en ojo derecho (OD). Acude a consulta por disminución visual progresiva e indolora en ojo izquierdo (OI) de más de un año de evolución. En la exploración oftalmológica, la agudeza visual corregida fue de 20/30 en OD y 20/400 en OI, con mejoría a 20/25 y 20/200 respectivamente. La presión intraocular fue de 15 mmHg en OD y 23 mmHg en OI, con ángulos abiertos en ambos ojos a la gonioscopía. El examen de segmento anterior reveló hallazgos compatibles con síndrome de pseudoexfoliación, documentados en las fotografías clínicas (Figura 1).
Ojo Derecho

Ojo izquierdo

Figura 1. Fotos clínicas de Segmento Anterior
Se realizaron estudios complementarios (Tabla 1), los cuales confirmaron el diagnóstico de glaucoma secundario a pseudoexfoliación bilateral, con daño glaucomatoso leve en OD (pseudofáquico) y daño glaucomatoso severo en OI, asociado a catarata. Dada la agresividad característica del GSP y el compromiso avanzado del OI, se estableció una presión intraocular meta baja para ambos ojos. Sin embargo, alcanzar dicha meta representaba un reto terapéutico dadas las limitaciones impuestas por su condición cardiovascular.
Debido al antecedente cardiovascular reciente, el servicio de cardiología contraindicó cualquier procedimiento quirúrgico en ese momento, lo que limitó las opciones terapéuticas disponibles. Asimismo, se evitó el uso de fármacos con potenciales efectos cardiovasculares adversos. Por lo tanto, se optó por tratamiento médico con latanoprosteno bunod 0.024% (Vyzulta™), una gota nocturna en ambos ojos.
A la semana de iniciado el tratamiento, la presión intraocular se redujo a 11 mmHg en OD y 12 mmHg en OI, alcanzando la PIO meta con monoterapia y sin efectos adversos sistémicos reportados.

Tabla 1. Estudios complementarios

Discusión
El caso presentado refleja una situación frecuente en la práctica oftalmológica, en la que pacientes con glaucoma secundario a pseudoexfoliación presentan comorbilidades cardiovasculares que limitan el abordaje quirúrgico inicial. En este contexto, el reto terapéutico consiste en lograr un control adecuado de la presión intraocular sin comprometer la seguridad sistémica del paciente.
El glaucoma secundario a pseudoexfoliación es una forma de glaucoma de ángulo abierto caracterizada por una disfunción predominante de la vía trabecular de salida del humor acuoso. De acuerdo con Sharawy y colaboradores, el síndrome de pseudoexfoliación se asocia con una producción excesiva y anormal de material fibrilar extracelular por parte del epitelio ciliar no pigmentado, el epitelio del cristalino y el epitelio pigmentado del iris. Este material se deposita progresivamente en las estructuras del segmento anterior, particularmente en la malla trabecular, incrementando la resistencia al flujo del humor acuoso a través de la vía convencional (5,7).
Desde el punto de vista clínico, estas alteraciones se traducen en presiones intraoculares más elevadas, mayor variabilidad tensional y una progresión más rápida del daño glaucomatoso en comparación con el glaucoma primario de ángulo abierto. Estas características explican el carácter más agresivo del GSP y la necesidad de alcanzar presiones intraoculares meta más bajas desde etapas tempranas (1,5,7).
Las prostaglandinas análogas constituyen la terapia de primera línea en el manejo del glaucoma por su eficacia, perfil de seguridad y facilidad de dosificación. Sin embargo, su mecanismo de acción tradicional actúa predominantemente sobre la vía uveoescleral, lo que puede resultar insuficiente en pacientes con una alteración trabecular marcada, como ocurre en el GSP (1,2).
El latanoprosteno bunod 0.024% representa una evolución farmacológica al combinar un análogo de prostaglandina F2α con un donador de óxido nítrico. Este mecanismo de acción dual permite no solo incrementar el drenaje uveoescleral, sino también mejorar, de manera directa, la salida del humor acuoso a través de la vía trabecular. La liberación local de óxido nítrico induce relajación de la malla trabecular y del canal de Schlemm mediante modificaciones del citoesqueleto celular, reduciendo la resistencia al flujo (2,6).
Diversos estudios clínicos y metaanálisis han demostrado que el latanoprosteno bunod logra reducciones de la presión intraocular superiores o comparables a otras monoterapias tradicionales, con un perfil de seguridad favorable. En el caso presentado, su uso como monoterapia inicial permitió alcanzar la presión intraocular meta de forma rápida y eficaz, sin efectos adversos sistémicos, a pesar del antecedente reciente de infarto agudo al miocardio (3,4,6).
Este hallazgo adquiere especial relevancia clínica, ya que en pacientes con comorbilidades cardiovasculares el uso de betabloqueadores tópicos puede estar limitado y las opciones quirúrgicas no siempre son viables. En este contexto, el latanoprosteno bunod se posiciona como una alternativa terapéutica eficaz y segura para el manejo inicial del glaucoma secundario a pseudoexfoliación cuando la cirugía no es una opción inmediata en el contexto sistémico del paciente.

Tabla 1.1. Estudios complementarios
Conclusión
El manejo del glaucoma secundario a pseudoexfoliación representa un reto clínico significativo, particularmente en pacientes con comorbilidades cardiovasculares que limitan las opciones quirúrgicas. En este caso, el uso de latanoprosteno bunod 0.024% como monoterapia inicial permitió alcanzar de manera rápida y segura la presión intraocular meta, sin efectos adversos sistémicos. Su mecanismo de acción dual lo convierte en una alternativa terapéutica valiosa en pacientes con disfunción trabecular predominante, ofreciendo una opción eficaz cuando el tratamiento quirúrgico no es factible.
La Dra. Andrea Robledo Torres indica la ausencia de conflictos de interés.
Referencias:
Mohan N, Chakrabarti A, Nazm N, Mehta R, Edward DP. Newer advances in medical management of glaucoma. Indian Journal of Ophthalmology. 2022;70(6):1920–1930. https://doi.org/10.4103/ijo.IJO_2239_21
Zhou L, Zhan W, Wei X. Clinical pharmacology and pharmacogenetics of prostaglandin analogues in glaucoma. Frontiers in Pharmacology. 2022;13:1015338. https://doi.org/10.3389/fphar.2022.1015338
Hsueh CM, Tsai CH, Huang JC, Lee SH, Wang TJ, Guo SP. One-year experience with latanoprostene bunod ophthalmic solution 0.024% in clinical practice: A retrospective observational study. PLOS One. 2024;19(8):e0307132. https://doi.org/10.1371/journal.pone.0307132
Okeke CO, Cothran NL, Brinkley DA, Rahmatnejad K, Rodiño FJ, Deom JE. Latanoprostene bunod 0.024% in patients with open-angle glaucoma switched from prior pharmacotherapy: A retrospective chart review. Clinical Ophthalmology. 2024;18:409–422. https://doi.org/10.2147/OPTH.S442940
Mastronikolis S, Pagkalou M, Baroutas G, Kyriakopoulou K, Makri OE, Georgakopoulos CD. Pseudoexfoliation syndrome: The critical role of the extracellular matrix in pathogenesis and treatment. IUBMB Life. 2022;74(10):995–1002. https://doi.org/10.1002/iub.2606
Harasymowycz P, Royer C, Cui AX, Barbeau M, Jobin-Gervais K, Mathurin K, Lachaine J, Beauchemin C. Short-term efficacy of latanoprostene bunod for the treatment of open-angle glaucoma and ocular hypertension: A systematic literature review and network meta-analysis. British Journal of Ophthalmology. 2022;106(5):640–647. https://doi.org/10.1136/bjophthalmol-2020-317262
Sharawy TM, Sherwood MB, Hitchings RA, Crowston JG. Glaucoma: Medical and Surgical Management. Elsevier Saunders; latest ed.









